Patient Testimonials & Dental Clinic Reviews in Hyderabad
Your Smile Deserves Expert Care
If you are looking for honest and verified dental clinic reviews in Hyderabad, this page features real patient feedback from our clinics in KPHB and Kondapur. Below, you can read Google reviews and watch video testimonials shared by patients after their treatments.

🌟 Patient Stories & Experiences
Trusted Dental Care in Hyderabad
A beautiful smile is more than treatment.
It is trust, comfort, clarity, and confidence.
At Platina Dental, every patient journey is personal. From smile transformations to complex implant cases, our patients share their real experiences — in their own words.
🎥 Real Stories. Real Smiles.
Featured Video Testimonials
Nothing builds confidence like hearing directly from patients.
Watch real experiences from:
- Smile Makeover patients
- Full Mouth Dental Implant cases
- Wisdom Tooth treatments during pregnancy
- International patients visiting from the UK
- Aligners & orthodontic patients
Each story reflects one thing — thoughtful care with precision and empathy.
“We felt completely safe and confident throughout the treatment.”
– International Patient, UK
These patient testimonials from Hyderabad reflect real treatment journeys, comfort levels, and outcomes.
🌍 International & NRI Patient Experiences
Patients from across India and overseas choose Platina Dental for:
- Advanced technology
- Transparent treatment planning
- Safety-focused protocols
- Clear communication
Whether visiting from the UK or relocating temporarily, our international patients value precision, comfort, and ethical care.
Your trust matters — especially when you are far from home.
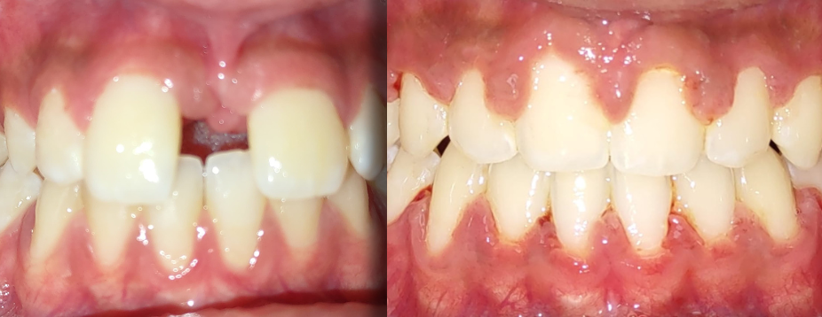
📸 Smile Transformations
Every smile tells a story.












From subtle aesthetic enhancements to full-mouth rehabilitation, our clinical results reflect careful planning and artistic precision.
🤍 Why Patients Feel Confident Here
Patients often mention:
- Calm, reassuring consultations
- Detailed explanation before procedures
- Gentle, minimally invasive techniques
- Strict sterilization standards
- Long-term follow-up care
We believe premium care is not about luxury.
It is about responsibility, transparency, and clinical excellence.
Patients from KPHB & Kondapur
Many of our reviews come from patients searching for:
- Dentist in KPHB reviews
- Dentist in Kondapur reviews
We are proud to serve families and professionals across these areas with advanced, patient-focused dental care.
- Trusted Expertise: Years of experience in cosmetic, restorative, and preventive dentistry.
- Advanced Technology: Digital Smile Design, 3D imaging, laser treatments, and modern implants.
- Patient-Centered Care: Individualized treatment plans and clear communication.
- Comprehensive Dental Services: From routine check-ups to full smile transformations.
- Luxury & Comfort: Clean, serene clinics with a soothing environment.
Experience the Difference
If you are searching for a trusted, highly rated dental clinic in Hyderabad, we invite you to explore these real patient experiences.
Your smile deserves thoughtful expertise.
📍KPHB & Kondapur, Hyderabad
Same-day appointments available. Flexible consultation slots.